Thrombosis Following Endovenous Glue Ablation
Raeed Deen, Andrew Bullen


Abstract:
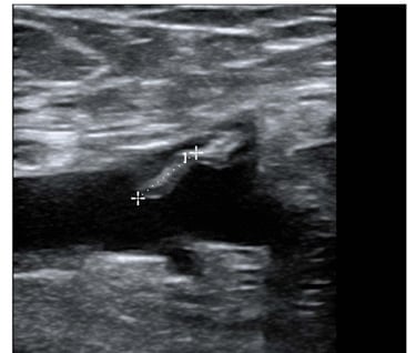
Endovenous glue ablation for lower limb varicose veins is gaining traction due to its proven safety and efficacy. A significant concern, however, is the extension of glue-associated thrombus into deep veins. This article presents a case where thrombus extended into the common femoral vein post endovenous glue ablation for varicose veins using the VenaSeal™ closure system (VCS; Medtronic). A 63-year-old male, presenting with symptomatic varicose veins and saphenofemoral junction incompetence, underwent the VCS closure. A month later, while varicosities showed improvement, an ultrasound revealed thrombus extending into the common femoral vein. This was managed with surveillance duplex and serial clinical observation, showing spontaneous resolution at 12 months. As the use of VCS for varicose veins increases, it's anticipated that thrombotic complications in the deep veins will be encountered more frequently, necessitating the formulation of guideline-based management for this complication.
Discussion:
The treatment landscape for varicose veins has evolved rapidly with the introduction of endovenous therapies. While traditional thermal tumescent techniques like radiofrequency and laser ablation have been extensively researched and deemed effective, newer non-thermal non-tumescent methods, such as glue and mechanochemical ablation, are gaining popularity. These newer techniques offer advantages like the absence of tumescent anaesthesia and no risk of heat-related injuries. However, a significant concern with endovenous glue ablation is the potential for thrombosis formation, with glue extensions reaching the deep venous system. This article delves into a case of thrombus formation post endovenous glue ablation and discusses the implications, risks, and potential management strategies.
Source: Vascular & Endovascular Review
